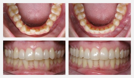
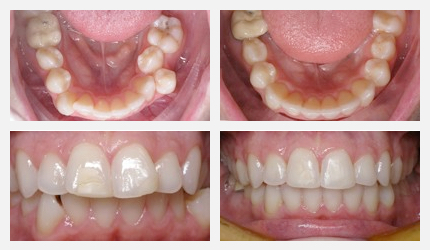
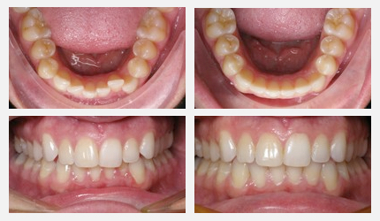
Smile Gallery

Monday:
8:00am - 5:00pm
Tuesday:
8:00am - 5:00pm
Wednesday:
8:00am - 5:00pm
Thursday:
8:00am - 5:00pm
Friday:
By Appointment
Contact Us

Contact Us

(760) 340-0303

    New Patient?








    Office Hours

    Monday:
    8:00am - 5:00pm
    Tuesday:
    8:00am - 5:00pm
    Wednesday:
    8:00am - 5:00pm
    Thursday:
    8:00am - 5:00pm
    Friday:
    By Appointment

    Contact Us

    100+ Google Reviews

    4.7 stars